Odkształcenie mięśnia sercowego w badaniu echokardiograficznym – co nowego?
dr hab. n. med. i n. o zdr. Anna Szymańska
05 listopada 2025

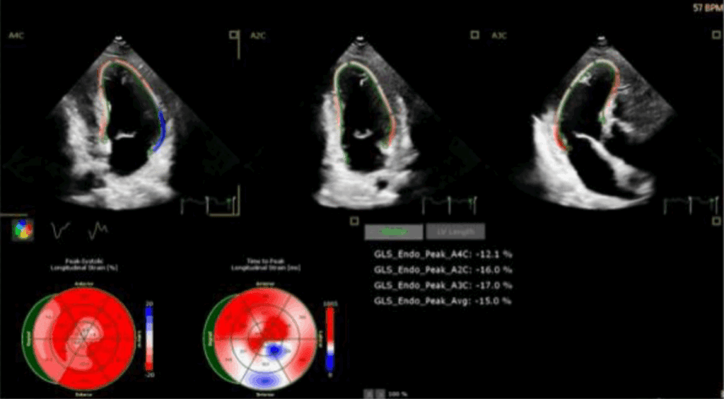
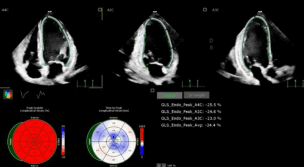
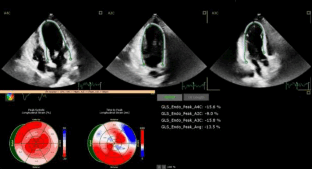
Odkształcenie mięśnia sercowego (strain) jest metodą diagnostyczną oraz coraz lepiej udokumentowanym parametrem prognostycznym, który uzupełnia standardowe przezklatkowe badanie echokardiograficzne (ang. transthoracic echocardiography – TTE).
Artykuł napisany przez:dr hab. n. med. i n. o zdr. Anna Szymańska
Oddział Kardiologii, Śródmiejskie Centrum Kliniczne, Mazowiecki Szpital Bródnowski
SK/003/02-2025/34





