Diagnostyka i różnicowanie przerostu mięśnia lewej komory serca…
11 grudnia 2025

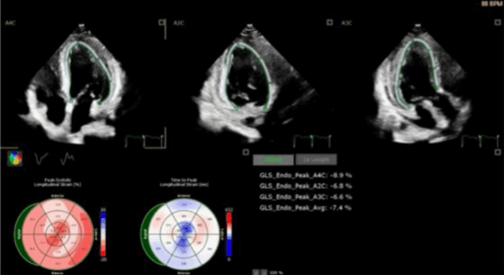
Odkształcenie mięśnia sercowego (strain) jest metodą szeroko wykorzystywaną w diagnostyce echokardiograficznej w grupie chorych z przerostem mięśnia lewej komory serca (ang. left ventricular – LV) o różnej etiologii. W tej grupie chorych standardowe przezklatkowe badanie echokardiograficzne (ang. transthoracic echocardiography – TTE) rozszerzone o pomiar odkształcenia lewej komory serca (ang. left ventricular strain – LV-GLS) ułatwia rozpoznanie, jak i pozwala na różnicowanie przyczyn przerostu LV.
W artykule przedstawiono przypadki kliniczne różnych pacjentów z chorobami układu sercowo-naczyniowego oraz przerostem mięśnia sercowego, u których pomiar odkształcenia (strain) LV istotnie ułatwia diagnostykę różnicową.
Artykuł napisany przez:dr hab. n. med. i n. o zdr. Anna Szymańska
Oddział Kardiologii, Śródmiejskie Centrum Kliniczne, Mazowiecki Szpital Bródnowski





